About Cosmetic & Restorative Dentistry
Cosmetic and restorative dentistry can transform your smile and improve both function and aesthetics. Whether you want to correct imperfections like discoloration, chips, or gaps, or need restorative treatments such as crowns, bridges, or veneers, we offer a range of services tailored to your needs.
Our cosmetic options include teeth whitening, bonding, and porcelain veneers to enhance your smile’s appearance, while restorative solutions like crowns and implants repair damaged or missing teeth. We use the latest technology and materials to ensure natural-looking, durable results.
Trust our experienced team to create a personalized treatment plan that will give you the healthy, beautiful smile you’ve always wanted.
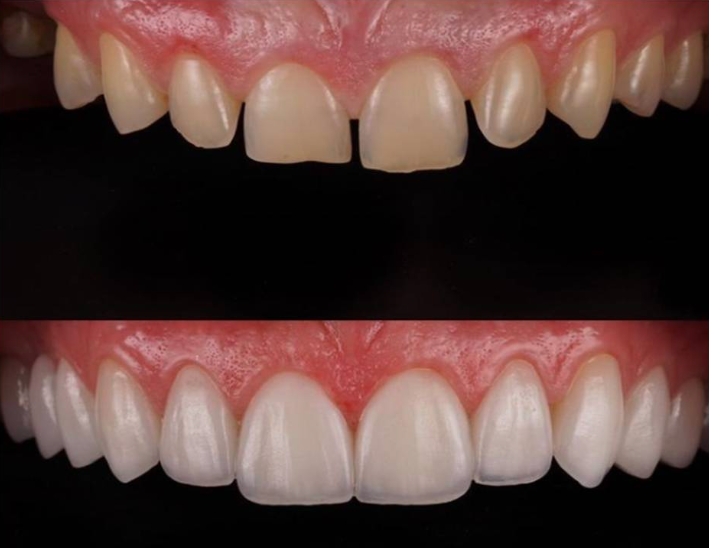
About Veneers
Veneers are a popular cosmetic dental solution designed to enhance the appearance of your smile. Thin, custom-made shells of porcelain or composite resin are bonded to the front surface of your teeth, correcting imperfections such as discoloration, chips, gaps, or misshapen teeth. Veneers offer a durable, natural-looking solution that can significantly improve the aesthetics of your smile.
The process of getting veneers typically involves a consultation, during which your dentist will assess your teeth and discuss your goals. After preparation, the veneers are carefully crafted and bonded, creating a seamless, radiant smile. Veneers are a low-maintenance option, requiring regular brushing and flossing, and can last many years with proper care.
If you’re seeking a beautiful, lasting smile, veneers might be the right choice for you.
Frequently Asked Questions
What’s the difference between cosmetic and restorative dentistry?
Cosmetic dentistry focuses on improving the appearance of your smile, including treatments like teeth whitening and veneers. Restorative dentistry addresses the function and health of your teeth, such as crowns, fillings, and implants, to repair damage or decay.
How long do cosmetic dental treatments last?
The longevity of cosmetic treatments varies depending on the procedure. Teeth whitening results typically last several months to a year, while veneers and crowns can last 10-15 years or longer with proper care and maintenance.
How long do veneers last?
With proper care, porcelain veneers can last 10 to 15 years or longer. Composite resin veneers usually last around 5 to 7 years. Regular brushing, flossing, and dental check-ups will help extend the lifespan of your veneers, along with avoiding habits like biting hard objects.

